Unraveling the CO2 Diffusion Pathway in C3 Plants
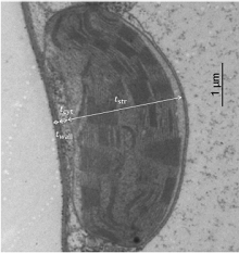
Photosynthesis can be defined as the conversion of solar energy into chemical energy. In green plants, this applies to the conversion of CO2 into organic compounds. The energy stored in these compounds can later be used to supply energy to run physical and chemical processes in plant cells. Since photosynthesis allows crops to maintain themselves and to grow , it is of great importance for agriculture to understand this process. The efficiency of CO2 transport from the atmosphere to the sites where CO2 is fixed depends on various CO2 sources (normal respiration, photorespiration), CO2 sinks (RuBP carboxylation), and physical intercellular (figure 1, left) and intracellular barriers (figure 1, right) for CO2 diffusion along the diffusion pathway in mesophyll cells to the sites of fixation. Commonly, these constraints are lumped in a single, apparent parameter, called mesophyll conductance. However, this approach does not provide a mechanistic explanation on how various structures and processes affect CO2 transport in the mesophyll. Therefore, we moved beyond these resistance models. In this study, we investigated how the location of photorespiration and normal respiration affects the leaf photosynthetic efficiency in C3 plants.
Download
- berghuijs_poster.pdf - 1.64MB
- berghuijs_abstract.pdf - 1.18MB
